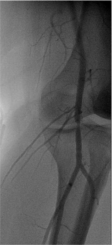
Popliteal entrapment syndrome is a rare condition in which the popliteal artery, which supplies blood to the lower leg and foot, is compressed or squeezed by nearby structures, such as the muscles and tendons at the back of the knee. This can cause reduced blood flow to the lower leg and foot, leading to pain, numbness, weakness, and other symptoms. It is most commonly seen in young athletes and can be treated with surgery or other interventions aimed at relieving the compression of the artery.






