In Clinic Consultation Fees

First Consultation (within 30 min)

$245 and above

Long First Consultation (within 30 - 60 min)

$345.00 and above

Follow-up Consultation (within 30 min)

$165.00 and above

Long Follow-up Consultation (within 30-60 min)

$245.00 and above

Emergency Consultation (W/IN 30 min)

$385.00 and above

Emergency Long Consultation (W/IN 30-60 min)

$550.00 and above

Wound dressings professional fee (excludes consumables)

$132.00 - 228.00 (depends on complexity)

Additional clinic-based Duplex ultrasound assessment

$150.00 - $320.00 (depends on complexity)

Specialist Medical Report

$200.00 - $ $330.00 (depends on complexity)

Laser Treatment Fees

Vbeam Laser (limited to 30 shots/session)

$650 and above

Vbeam Laser (Package of 5 + 1)

$3,250 and above

Gmax Laser (per affected area/session)

$650 and above

Gmax Laser (Package of 5 + 1)

$3,250 and above

Q-Switch Laser (per affected area/session)

$650 and above

Q-Switch Laser (Package of 5 + 1)

$3,250 and above

Out of Clinic Consultation Fees

Hospital In-patient Consultation (Ward)

$380.00 and above

Hospital In-patient Consultation (ICU)

$550.00 and above

Emergency Consultation Fees

A&E during Clinic hours

$380.00 and above

A&E after Clinic hours but before 12 Midnight

$480.00 and above

A&E after 12 Midnight

$550.00 and above

A&E Weekends & PH

$550.00 and above

* All prices are in Singapore currency, exclude Goods & Service Tax are accurate as of 1st Jan 2025 onwards. Prices may change accordingly.

Book Appointment

Please fill in your personal details and we will get back to you regarding your appointment.

Book Appointment

Fill in your personal details and we will get back to you regarding your appointment.
Home|Pelvic Congestion Syndrome

Pelvic Congestion Syndrome

pelvic congestion syndrome 2

What is Pelvic Congestion Syndrome?

Pelvic congestion syndrome (PCS), otherwise known as pelvic venous disease, is a condition underdiagnosed in women and is one of the causes of chronic pelvic pain unrelated to the menstrual cycle and pregnancy. It is caused by “varicose veins” in the pelvis overlying organs, including the uterus, bladder and intestines, leading to venous stasis, venous swelling and twisting, causing the severe pain associated with the condition.

Pelvic congestion syndrome is associated with ovarian vein dilation and can also result in varicose veins in the thigh, buttock and vaginal regions.

What are the symptoms and signs of pelvic congestion syndrome?

PCS symptoms
Pelvic congestion syndrome can cause a variety of symptoms, including:
  • Pain in your lower abdomen. This is usually dull, aching in nature that can drag over the pelvis or lower back and is usually worse upon standing or sitting and is relieved with lying down.
  • Pain during intercourse (dyspareunia)
  • Pelvic pain and discomfort when you urinate (pee). This might be caused by an enlarged bladder or urethra due to pelvic congestion syndrome.
  • Frequent urination throughout the day, especially at night time. This may be due to an enlarged bladder or urethra caused by pelvic congestion syndrome, which can make it difficult for your body to hold urine for long periods of time before needing to go again! This is associated with an irritable bladder that leads to stress incontinence.
  • Irritable bowel – caused by the swollen veins around the intestines leading to recurrent abdominal pain and diarrhoea alternating with constipation.

Causes of Pelvic Congestion Syndrome

The cause of pelvic congestion syndrome is unclear still. Hormonal abnormalities or anatomical dysfunction of the pelvic veins are thought to contribute to pelvic congestion syndrome development. The majority of women affected with pelvic congestion syndrome are those between 20-45 years of age who have had multiple pregnancies.

One theory is that hormonal changes and weight gain along with anatomical changes of the pelvis during pregnancy can lead to increased pressure within the ovarian veins in the pelvis, weakening the vein walls and resulting in dilatation. The valves within the ovarian veins become faulty from the dilatation process and if they do not close properly during venous return to the heart, blood can leak backwards leading to the pooling of blood in the pelvis and the clinical symptoms of pelvic congestion syndrome such as heaviness and pain.

Diagnosis of Pelvic Congestion Syndrome

The diagnosis of pelvic congestion syndrome is made by your doctor based on the symptoms you are experiencing, as well as the results of a physical exam and imaging tests.

Physical Exam: Your doctor will perform a physical examination to determine if there is any swelling or tenderness in your abdomen, vagina and vulva area.

Pelvic Ultrasound: This test uses sound waves to create images of the pelvic organs and dilated veins on a computer monitor that help your doctor diagnose pelvic congestion syndrome. Ultrasound can also directly visualise the back flow of blood within the ovarian veins and identify the size of these dilated veins.

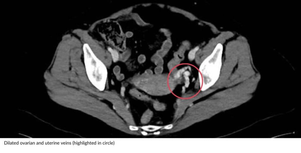
Sometimes ultrasound alone may not provide all the necessary information and your doctor may want additional imaging such as a CT scan or MRI. Both CT and MRI are used to visualise the abnormal veins within the pelvis, their size, location and severity. Also can be used to look for other abnormalities that may be causing the pain and evaluate the surrounding structures in the pelvis.

Dilated ovarian veins

Pelvic venography and intravascular ultrasound (IVUS) assessment

This is the most definitive imaging modality for diagnosing and assessing the severity of pelvic congestion syndrome. This is a minimally invasive procedure via a pinprick needle puncture in one of the groin veins under local anaesthetic and sedation. This is performed by a vascular specialist, who will insert a catheter (plastic tube) into the ovarian vein (usually on the left side of the pelvis) under X-ray guidance.

An iodine-based dye is then injected into the vein and images are obtained in different projections. An intravascular ultrasound is a fibre optic ultrasound thin tube that is placed within the vein over a wire which can assess the degree of dilatation of the vein from the inside of the blood vessel. These two imaging techniques are used in conjunction with pelvic vein embolization (see below) to block off the vein for severe cases of pelvic congestion syndrome.

The choice of treatment depends on the individual patient’s situation and the expertise of your vascular surgeon. A team of healthcare professionals, including neurosurgeons, interventional radiologists, and radiation oncologists, may be involved in the management of AVMs.

Treatment Options

Medications

Pelvic congestion syndrome can be treated with medications, which may include birth control pills or other hormones that help to regulate the menstrual cycle.

Heat Therapy

Heat therapy can be used to relieve muscle spasms in your lower back as well as pain caused by pelvic congestion syndrome symptoms like abdominal cramps or constipation.

Exercise

Exercises such as walking, swimming, biking and yoga help improve circulation throughout your body–including your pelvis–and ease symptoms associated with pelvic congestion syndrome.

Dietary Changes

Eating foods rich in calcium may help reduce inflammation of tissues around reproductive organs such as ovaries and fallopian tubes.

Surgery

Ovarian vein embolization – this is a keyhole procedure performed usually under local anaesthetic and sedation via the groin. A plastic tube (called a catheter) is placed directly into the faulty ovarian vein under X-ray guidance from the groin vein. Sclerosing agents (chemicals which irritate the lining of the vein wall leading to thrombosis and deliberate blockage) are injected into the pelvic varicose veins. Small metal coils or plugs are also used to block the backflow of blood in the ovarian vein, which ultimately lead to reduced pressure and pain within these dilated pelvic veins. Approximately 75% patients will report some improvement in their symptoms and the greatest improvement may only be realised within 3 months after the procedure.
Pelvic congestion syndrome

Preventing Pelvic Congestion Syndrome:

  • Maintain a healthy weight. Excess body fat can cause pressure on the pelvic organs, making them less able to function properly.
  • Avoid smoking and alcohol consumption. Both of these substances irritate the lining of your bladder, which can lead to painful urination and other symptoms associated with pelvic congestion syndrome.
  • Wear supportive underwear during physical activity or heavy lifting activities that place stress on your lower back or pelvis area (such as lifting weights). This will help prevent strain on your pelvic muscles and ligaments.

Living with Pelvic Congestion Syndrome:

Talk to a Doctor

If you have pelvic congestion syndrome and are experiencing symptoms, it’s important to talk to your doctor about the condition. Your healthcare provider will be able to help determine if you need treatment or not.

If so, they may prescribe pain medications or recommend other treatments like physical therapy or massage therapy.

When to Seek Medical Attention?

If you are experiencing any of the following symptoms, it’s important to seek medical attention:

  • Severe pain in the pelvic area that does not go away after a few days or weeks.
  • Heavy bleeding that lasts longer than usual. This could be bleeding between periods or after sex as well as spotting between periods and after sex.
  • Difficulty urinating because of pressure on your bladder caused by inflammation in your pelvis (bladder). This can cause urine leakage or dribbling when you cough or sneeze. It may also cause an urgent need to urinate but being unable to do so right away because your bladder is full of urine due to nerve damage caused by pelvic congestion syndrome.

Conclusion

Pelvic congestion syndrome is a common yet often misunderstood and under diagnosed condition that can cause chronic pain and other symptoms. Fortunately, there are a variety of treatment options available to help manage the condition.

If you’re experiencing pelvic pain or discomfort, talk with your doctor about getting tested for pelvic congestion syndrome.

Our Screening Packages (Non-insurance)

screening room

Varicose veins screening package (single leg)

  • Consultation & Review – assess history, risk factors, life style, symptoms
  • Examination – to check distribution and anatomy plus to assess skin problem
  • Ultrasound reflux scan – to check for venous insufficiency (two legs add $450 + GST)
  • $799 + GST

Spider veins screening package (single leg)

  • Consultation & Review – assess history, risk factors, life style, symptoms
  • Examination – to check distribution and anatomy plus to assess skin problem
  • 1 session laser treatment – (additional session $450 + GST)
  • $766 + GST

Varicose veins and spider veins package (single leg)

  • Consultation & Review – assess history, risk factors, life style, symptoms
  • Examination – to check distribution and anatomy plus to assess skin problem
  • Ultrasound reflux scan – to check for venous insufficiency (two legs add $450 + GST)
  • 1 session spider vein laser treatment (additional session 450 + GST)
  • $1,460 + GST (two legs – add $400 + GST)

Diabetic foot screening (basic)

  • Consultation & Review – assess history, risk factors, life style, symptoms
  • Examination – to check circulation, biomechanics of foot arch, sensory loss
  • Ankle brachial pressure index (lab) – to check blood flow in legs
  • Blood test – to check average sugar levels in 3 months
  • $498 + GST

Diabetic foot screening (extensive)

  • Consultation & Review – assess history, risk factors, life style, symptoms
  • Examination – to check circulation, biomechanics of foot arch, sensory loss
  • Ankle brachial pressure index (lab) – to check blood flow in legs
  • Blood test – to check average sugar levels in 3 months
  • Single leg arterial duplex – to identify specific artery problem (additional leg scan $400 + GST)
  • X-ray one foot – to check bone infection
  • $966 + GST

Cardiovascular screening (normal)

  • Consultation & Review – assess history, risk factors, life style, symptoms
  • Examination – full cardiovascular examination including the heart and limb arteries
  • Ankle brachial pressure index (lab) – this is a marker for longevity and cardiovascular health
  • Blood tests (lipids) – to check all the types of cholesterol
  • Carotid scan – to identify block artery to the brain hence stroke
  • Echocardiogram – to identify heart muscle function
  • $1,446 + GST

Cardiovascular screening (comprehensive)

  • Consultation & Review – assess history, risk factors, life style, symptoms
  • Examination – full cardiovascular examination including the heart and limb arteries
  • Ankle brachial pressure index (lab) – this is a marker for longevity and cardiovascular health
  • Blood tests (lipids) – to check all the types of cholesterol
  • Carotid scan – to identify block artery to the brain hence stroke
  • CT coronary Angiogram plus calcium score – gold standard to identify block heart arteries
  • $2,544 + GST

Our Doctors

Senior Vascular & General Surgeon

MBChB, FRCS(Glas), FRCS(Eng), FRCS(Gen), FAMS

Senior Vascular & General Surgeon

MA Honours, MB BChir (Distinction in Surgery), MRCS Glas, MD (Cambridge), FRCS (Gen); FAMS; CWSP

Senior Vascular & General Surgeon

MDCM (McGill University); American Board of Surgery (General, Vascular); FAMS; RPVI